合作客戶/
拜耳公司 |
同濟大學 |
聯合大學 |
美國保潔 |
美國強生 |
瑞士羅氏 |
相關新聞Info
推薦新聞Info
在水中有沒有可能呈現出多邊形的油滴呢?
來源:科技工作者之家 瀏覽 1883 次 發布時間:2022-03-07
出品:科普中國
在我們品嘗各式美味湯肴時,你可能會發現湯里漂浮的油滴大都是圓形的。那么,為什么生活中見到的小油滴在水中呈現的是圓形,而不是四邊形、五邊形抑或是多邊形?在水中有沒有可能呈現出多邊形的油滴呢?且聽我們一一道來。
圖片來源:作者提供
油滴在水中形成圓形的原因——表面張力
油滴之所以能漂浮在水的表面,首先是因為油和水不相溶。如果是相溶的兩種物質,那就不存在“形成特定的形狀”這一說法了。
那么,既然不相容,就必定存在一個相交的表面,如下圖中的油水分離表面。
圖片來源:截圖自制
在表面化學中,物質的兩相之間密切接觸的過渡區稱為界面,如氣-固、氣-液、固-固、固-液及液-液界面。我們習慣將其中的氣-液和氣-固界面稱為表面,其余稱為界面。二者并無嚴格區分,常常通用。
那么,對于任何一個表面,處在物質表面層(也稱“表面相”)的分子,與內部分子在受力情況、能量狀態和所處的環境等方面均不相同。我們以純液體表面為例進行分析。
上方為氣相,下方為液相,圖中分別用B和A表示表面分子和液體內部分子。
液體內部分子A與周圍分子的作用力是對稱的,相互抵消,合力為零,因此A在液體內部移動時不需要做功。而對于表面分子B,與表面下的水分子相互的作用力強烈,與表面上的空氣作用力則較弱。由于上下的作用力大小不一致,因此B處于一個不對稱的力場中,形成了一股指向內部的合力,此力力圖將其拉回液體的內部。
圖片來源:參考資料2
當有內部分子A想從液相移至表面層成為分子B時,那就必須克服這股合力對分子的影響做功,這時分子能量增加,意味著B比A具有更多的能量。
而高能量的系統總是有趨于更穩定狀態的趨勢,因此B就會自動收縮其表面積以達到穩定。這時,表面上存在的使其表面積自動收縮的力,就被人們定義為表面張力。
表面張力垂直于邊界線且指向表面內部,且總是作用在表面上,如果表面是彎曲的,則表面張力就是沿著曲面的切線方向。
由上述我們可以知道,在表面的邊界上,表面張力使物質的表面積趨向于收縮變小的方向發展。而在體積一定的情況下,球體是表面積最小的幾何體,所以上述的小油滴本身是最想變成球體的。
但是,由于我們所看到的油滴在水面上,變化空間為二維而不是三維,在面積一定的條件下,圓形是邊長最小的幾何圖形,因此油滴在水中呈現圓形。
確定地說,只要有表面存在,就會有表面張力。除了油滴在水中成圓形外,生活中其實還有許多現象都是表面張力形成的。
生活中的表面張力
不僅是液液之間,表面張力存在于生活的每一處——清晨凝聚在葉片上的露珠、緩緩落在水面的液滴、高于杯面卻沒溢出的水、在水面上滑行奔跑的水黽等。
常見的固-液之間的生活現象都是在表面張力的作用下形成的。
圖片來源:作者提供、參考資料3
在液體與氣體接觸的表面層,表面張力也會出現表面收縮的趨勢。
用牙膏刷牙時,會吐出些牙膏白沫,而牙膏白沫一旦落在水面上,便會立即向四周散開,可見水的表面張力比牙膏液的表面張力大。
我們就是利用這個道理來幫助清潔口腔的。刷牙前,先用清水漱漱口,再用牙膏刷牙,這時會使得牙膏液在水的表面張力作用下充斥整個口腔,污物便更容易隨著牙膏液和水被清洗干凈。
同樣,肥皂、洗滌劑及洗衣液等,也是通過表面張力的原理來去除污垢、清潔衣物的。
圖片來源:參考資料4、5
在工業上,用于測定表面張力的表面張力儀最常見的應用,就在清洗劑方面,用于剖析外表面活性劑的吸收速度、性質,研究適宜的濃度等。表面張力儀同樣能在醫藥、農業、電力、石油和化妝品等十多個重要行業中有所應用。
當我們結合實際現象、了解到背后的科學原理后,往往就會思考能否控制表面張力,打破這種平衡,從而更好地服務我們,滿足我們的需求。
比如,將圓形的油滴通過一些方法變成我們想看到的多邊形油滴!雖然這聽起來不可思議,但是科學家們已經在實驗室內做到了!
方形油滴在實驗室內出現了
芬蘭阿爾托大學(Aalto University)的Jaakko Timonen教授的課題組在9月15日的《科學進展》(Science Advances)上發表了關于這一過程的新研究。
他說:“平衡態的東西都太無聊了。把系統推離平衡態,去看看非平衡的結構能不能被控制、能不能被利用,卻很有意思”。
圖片來源:參考資料6
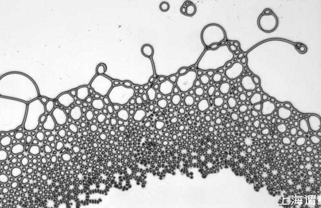
在這項研究中,團隊將油與多種具有不同介電常數和電導率的液體混合后,通過施加電場,界面發生剪切,會脫離平衡狀態,產生有趣的結構。液滴形成了許多出乎意料的圖案,可被控制成為方形或六邊形,每條邊都是筆直的,這在自然界中幾乎是不可能的。
液體甚至可以在誘導下形成甜甜圈狀的圓環,在電場中保持形狀穩定。這也是自然條件下不可能做到的——這樣的液體結構會具有強烈的坍縮趨勢,填補中心的孔洞。
實驗還實現了圍繞軸線轉動的細絲狀液滴。
圖片來源:參考資料6
了解本質,敢于創新
通過上述課題組的研究,我們能夠創造出在自然界幾乎不可能找到的液體形狀,這為我們帶來了制造動態特定結構的方法。這一結構不僅能夠通過電壓的開關來控制,還對進一步探索電壓控制的光學設備提供可能性。
而基于此項研究的另一項潛在的成果,是能夠構造相互作用的滾動細絲和微液滴。這對微生物基于各不相同的機制推進的動力學特性和集群行為也能進行指導研究。
未來,相信會有越來越多的新方向等待被開發。
科學其實離我們并不遙遠,只要你細心觀察,潛心鉆研,也許從你身邊的一個角落就能推衍出藏于其中的科學本質。發現生活的美,再告訴人們怎樣能夠創造出新的美,這難道不是一件很酷的事情嗎?
參考資料:
1.朱文濤,王軍民等,簡明物理化學,清華大學出版社北京;
2.表面張力的搜索結果_百度圖片搜索(baidu.com);
3.新浪看點,水黽為何輕功了得原來卻有絕活|輕功|絕活|水面_新浪新聞(sina.com.cn);
4.刷牙中的泡泡-國內版Bing images;
5.洗衣服-國內版Bing images;
6.https://www.science.org/doi/10.1126/sciadv.abh1642
7.https://www.linkresearcher.com/theses/4634451c-6902-42d8-8118-15aff1f3eff7
制作:陳琳(中國科學院工程熱物理研究所)陳勁濤(北京航空航天大學)





